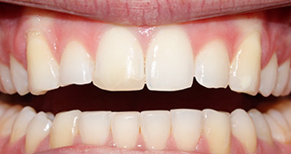
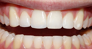
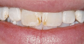
Dental bonding, often referred to as composite bonding or tooth bonding, aims to correct many minor defects. It’s not only cost-effective but also one of the simplest dental cosmetic procedures. The term dental bonding refers both to the procedure itself and the substance used.
The composite bonding procedure involves the application of a tooth-coloured resin material using adhesives and a high-intensity curing light. It’s called dental bonding because the materials are firmly bonded to the tooth through this process.
At Collins Precision Dental, we offer the highest quality composite bonding services in the Melbourne Central Business District.



















